7 декабря 2021 г.

Врожденная патология — коарктация аорты, прооперированная малоинвазивным методом

Коарктация - это врожденное сужение самой большой артерии человеческого тела - аорты, которая несет богатую кислородом кровь ко всем органам тела. Это сужение влияет на приток крови к верхним и нижним частям тела и может вызвать высокое кровяное давление или повреждение сердца.

Во многих случаях коарктация аорты выявляется в раннем возрасте. Причина неизвестна, у некоторых детей могут быть выявлены и другие дефекты сердца, связанные с коарктацией.

Как коарктация аорты влияет на сердце?

Коарктация препятствует / ограничивает кровоток от сердца к нижней части тела. Артериальное давление становится намного выше нормы в левой камере сердца из-за препятствия, которое сердце должно преодолеть, чтобы продвинуть кровь в аорту. Это может вызвать утолщение (гипертрофию) и повреждение перегруженной сердечной мышцы.

Обычно симптомы отсутствуют при рождении, но они могут развиться уже в первую неделю после рождения. У ребенка может развиться застойная сердечная недостаточность или высокое кровяное давление. Если обструкция легкая, сердце не будет перегружено, и вы можете не испытывать никаких симптомов. У некоторых детей и подростков коарктация обнаруживается только после выявления повышенного артериального давления.

Сердечные резервы ограничены, поэтому функция сердца постепенно ухудшается, а затем появляются и первые симптомы.

Случай прооперированной пациентки — один из немногих случаев, когда люди с такой патологией доживают до 35 лет и даже становятся мамами.

Пациентка Екатерина: «Первые приступы гипертонии начались уже в 18 лет, но ни один врач не смог определить причину. Так было, пока мне не исполнилось 35 лет, в течение которых я много лет принимал лекарства, но проблема не была решена. Мне очень хотелось найти решение, избавиться от страха и беспокойства, связанных со здоровьем, и именно так я попала в Medpark на консультацию кардиолога Ирины Бойчук».

Предварительный диагноз был быстро подтвержден однократной эхокардиографией, проведенной специализированным врачом по ультразвуковому исследованию Аллой Слобозяну.

Что делать при коарктации?

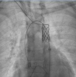
Обструкцию коарктации можно устранить открытым хирургическим вмешательством или минимально инвазивными эндоваскулярными методами.

До недавнего времени открытая операция была единственным методом, который мог помочь пациентам с коарктацией. Само вмешательство травматично и может проводиться только в современных больницах. Это предполагает открытую замену пораженного сегмента синтетическим протезом. Пациенты после открытой операции восстанавдиваются труднее, с риском сопутствующих инфекций и других интраоперационных или послеоперационных осложнений, а также с большим шрамом. После открытого вмешательства пациент может вернуться к повседневной деятельности только через несколько недель.

Теперь в кардиологическом центре Medpark доступно лечение коарктации аорты командой интервенционных кардиологов с помощью небольших проводов / катетеров. Этот метод и был выбран для пациентки, чтобы свести к минимуму травмы и возможные риски.

Медицинское оборудование позволило прооперировать пациентку минимально инвазивным методом и на следующий день выписать домой.

Михаил Ташник, интервенционный кардиолог: «Операция проходила в нашей лаборатории ангиографии катетеризации сердца, длилась полтора часа под общей анестезией для удобства пациента и врачей. Через небольшое отверстие на уровне артерии ноги была введена специальная трубка до уровня сужения, где в месте коарктации был имплантирован стент. Стент представляет собой водонепроницаемую медицинскую сетку, которая не только снижает степень сужения, но и сводит к минимуму любой риск возникновения разрыва аорты. Результаты и успешность случая пациентки стали возможны благодаря совместной работе врачей Medpark и коллег из Турции».

Пациентка Екатерина: «Когда я узнала о возможности решения моей проблемы с помощью операции, я без колебаний согласилась. Я была рада, что решение есть! Я очень благодарна команде, которая поставила мне правильный диагноз и успешно прооперировала. Благодарю!»

Интраоперационные риски при таких вмешательствах составляют менее 5%, а выздоровление пациента занимает менее 24 часов.

Операция была проведена в сотрудничестве с коллегами из Турции под руководством профессора Айдына, всемирно известного врача, которому ассистировали интервенционные кардиологи Ераслан Хакан и Михаил Ташник. Комфортабильность и успех вмешательства стали возможны также благодаря эффективному сотрудничеству с отделением интенсивной терапии и профессионализму врача-анестезиолога Ивана Ешану в области общей анестезии пациентов с сердечно-сосудистыми патологиями. Все перечисленные факторы обеспечили максимальную безопасность хирургического вмешательства как для врачей, так и для пациента.

Пациенты, прооперированные малоинвазивными методами, пользуются рядом преимуществ:

  • минимальный риск развития инфекции,
  • сниженный травматизм,
  • снижение риска возникновения осложнений и кровотечений,
  • намного меньше послеоперационной боли,
  • короткий период госпитализации и быстрое восстановление.

Центр сердечно-сосудистых заболеваний Medpark — единственный центр кардиологического профиля в Молдове, который объединяет под одной крышей консультативное отделение и стационар, интервенционную кардиологию и кардиохирургию. Синергия между этими областями позволяет определить наиболее эффективное лечение для каждого пациента, особенно в сложных или неотложных случаях.

Medpark — Медицина будущего здесь

Просмотров за неделю: 0 Просмотров с момента публикации: 693
Мне нравится

Если вы заметили ошибку или неточность в тексте, сообщите нам.

Контактная информация

Medpark — Международный госпиталь ул. A. Дога, 24 Телефон: 022 40-00-40 www.medpark.md