24 октября 2018 г.

Успешное удаление глубокой внутримозговой опухоли под ультразвуковым контролем

Хирургическое лечение опухолей головного мозга – это всегда вызов. Миссия нейрохирурга усложняется, когда новообразование расположено глубоко внутри мозга или вблизи долей мозга, ответственных за важные функции, такие как память, речь и движение конечностей.

Полностью удалить опухоль, не повредив функциональность мозга – вот залог успеха операции. Здесь крайне важна точность каждого движения – врачу необходим визуальный контроль хода операции, чтобы убедиться, что даже самые маленькие фрагменты опухоли были экстирпированы. Одним из методов интраоперационной визуализации является ультрасонография.

Использование ультразвука во время операции позволяет определить местоположение, диаметр и глубину опухоли, а также дает возможность нейрохирургу визуально контролировать свои движения. Эхография помогает врачу увидеть края опухоли как можно чётче, что позволяет ему максимально удалить новообразование.

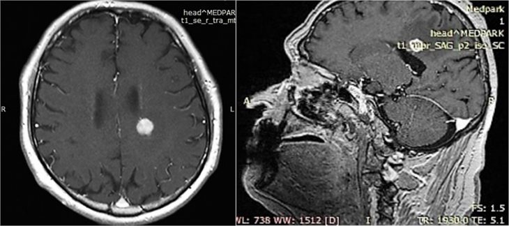
Пациент с опухолью в лобной доле, отвечающей за речь и движение, был успешно прооперирован

На днях, команда хирургов Medpark, возглавляемая нейрохирургом Адрианом Дану, удалила опухоль диаметром 1,5 см, расположенную в лобной доле, на глубине 5-6 см.

Операция была крайне сложной с технической точки зрения, поскольку опухоль развилась вблизи центров, отвечающих за речь и движение в правой руке и ноге. Несмотря на это, было принято решение срочно удалить это новообразование, пока оно не повредило здоровую часть мозга.

Интраоперационное использование УЗИ внесло существенный вклад в успех вмешательства и стало результатом продуктивного сотрудничества между командами нейрохирургов и сонологов.

Неврологическое обследование, проведенное на следующий день после операции, показало, что у пациента нет паралича, его речь не пострадала. Теперь он сможет радоваться жизнью, рядом со своей семьей.

Пациент был выписан через шесть дней после проведения операции. За это время исчезли беспокоящие его длительное время симптомы: головная боль, затрудненная ходьба и онемение.

Перейди по ссылкам, чтобы узнать больше об Опухолях головного мозга и Нейрохирургии Medpark.

Просмотров за неделю: 9 Просмотров с момента публикации: 716
Мне нравится

Если вы заметили ошибку или неточность в тексте, сообщите нам.

Контактная информация

Medpark — Международный госпиталь ул. A. Дога, 24 Телефон: 022 40-00-40 www.medpark.md